TEM样品制备技术
发布时间:2011-06-09第一节 概述
由于电子束的穿透能力比较低(散射能力强),因此用于TEM分析的样品厚度要非常薄,根据样品的原子序数大小不同,一般在5~500nm之间。要制备这样薄的样品必须通过一些特殊的方法。 
- 衬度:眼睛能观察到的或者其它媒介能记录到的光强度或感光度的差异;
- 质厚衬度就是样品中不同部位由于原子序数不同或者密度不同、样品厚度不同,入射电子被散射后能通过物镜光阑参与成像的电子数量不同,从而在图像上体现出的强度的差别。
2.1 影响质厚衬度的因素:
- 与原子序数的关系:物质的原子序数越大,散射电子的能力越强,在明场像(物镜光阑只允许散射角小的电子通过)中参与成像的电子越少,图像上相应位置越暗。
- 与试样厚度的关系:设试样上相邻两点的物质种类和结构完全相同,只是电子穿越的厚度不同,则在明场像中,暗的部位对应的试样厚,亮的部位对应的试样薄。
- 与物质密度的关系:试样中不同的物质或者不同的聚集状态,其密度一般不同,也可形成图像的反差,但这种反差一般比较弱。
2.2 复型技术
复型就是表面形貌的复制(其原理与侦破案件时用的石膏复制罪犯鞋底花纹相似)。通过复型制备出来的样品是真实样品表面形貌组织结构细节的薄膜复制品。
2.3 用于复型制备材料的要求:
(1)必须是非晶材料;
( 2)粒子尺寸必须很小;
( 3)应具备耐电子轰击的性能。
2.4 主要采用的复型方法:
一级复型法、二级复型法、萃取复型法。
2.4.1一级复型
- 一级复型是指在试样表面的一次直接复型。
- 一级复型复型主要分为塑料(火棉胶)一级复型和碳膜一级复型,以及氧化膜复型。
塑料(火棉胶醋酸戊酯溶液或者醋酸纤维素丙酮溶液-AC纸)一级复型,相对于试样表面来讲,是一种负复型,即复型与试样表面的浮雕相反;其形成的示意图如下图所示。从图中可以看出,一级塑料复型是对样品表面形貌的简单的复制,它表面的形貌与样品的形貌刚好互补,所以称之为负复型。其厚度可以小到100纳米。

碳膜一级复型是一种正复型,它与塑料一级复型的区别是:
1.碳膜复型的厚度基本上相同,而塑料复型的厚度随试样位置而异。
2.塑料复型不破坏样品;而碳膜复型破坏样品(分离膜与样品时要电解腐蚀样品)。
3.塑料复型因塑料分子较大,分辨率低(10-20nm);碳离子直径小,碳膜复型分辨率高(2nm)。
下面是碳膜一级复型的形成示意图:

2.4.2 二级复型
在塑料一级复型上再制作碳复型,就是一种二级复型。下图是二级复型的制作示意图。首先在样品上制作一级塑料复型(如图a所示),然后在一级复型的基础上,垂直镀上一层碳膜(如图b所示),然后用重金属(图b中是用的Cr)沿一定角度镀到碳膜上,以增加复型的衬度;最后用丙酮将塑料溶解掉即可得到二级复型样品(如图c所示)。

塑料-碳二级复型的特点:
(1)制备复型时不破坏样品的原始表面;
( 2)最终复型带有重金属投影;
( 3)衬度高,稳定性、导热电性好;
( 4)分辨率低,与一级塑料复型相当;
( 5)膜的厚度薄。
下图是合金钢回火组织及低碳钢冷脆断口的二级复型照片,其中图a是合金钢回火组织的二级复型照片,可以清楚地看到回火组织中析出的颗粒状碳化物;图b是低碳钢冷脆断口的二级复型照片,可以看到解理断口上的河流花样。


a) 30CrMnSi钢回火组织二级复型照片; b) 低碳钢冷脆断口的二级复型照片
2.4.3 萃取复型
用于对第二相粒子形状、大小和分布以及物相和晶体结构进行分析,复型方法和碳一级复型类似。在萃取样品上可在观察样品基体组织形态的同时,观察第二相颗粒的大小、形状、分布以及晶体结构分析。
下图是萃取复型的制备示意图,首先将存在第二相析出相的样品深腐蚀,以使第二相裸露出来,然后在样品上镀上一层碳膜,最后用电解腐蚀的方法,除去样品基体,得到的就是只有碳膜和第二相粒子的萃取复型样品。

3.1 胶粉混合法
在干净玻璃片上滴火棉胶溶液,然后在玻璃片胶液上放少许粉末并搅匀,再将另一玻璃片压上,两玻璃片对研并突然抽开,稍候,膜干。用刀片划成小方格,将玻璃片斜插入水杯中,在水面上下空插,膜片逐渐脱落,用铜网将方形膜捞出,待观察。一般用于磁性粉末样品且观察倍数不高。
3.2 支持膜分散粉末法
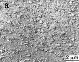
常用的支持膜有火棉胶膜和碳膜,将支持膜放在铜网上,再把粉末均匀分散地捞在膜上制成待观察的样品。为了防止粉末被电子束打落污染镜筒,可在粉末上再喷一层碳膜,使粉末夹在中间。在分散粉末时要特别注意,如果分散不好的,在电镜下将观察不到单个的粉末颗粒。为了确保粉末分散,一般用小的容器盛满酒精或丙酮,然后往里面放入极少量的粉末样品,之后将其置于超声波振荡器中振动15分钟以上,再用带支持膜的铜网在溶液中轻轻地捞一下即可。下图是分散较好的粉末样品实例。

第四节 薄膜样品的制备
4.1 薄膜样品的要求:
1.薄膜样品的组织结构必须和大块样品相同;
2.样品相对电子束而言必须有足够的“透明度”;
3.薄膜样品应有一定强度和刚度;
在样品制备过程中不允许表面产生氧化和腐蚀。
4.2 薄膜样品制备的一般工艺:
首先从块状样品中切下厚度约为0.5毫米的薄片,然后经过薄片的预减薄后(手工研磨加挖坑和抛光),最后最终减薄。最终减薄的方法视材料而定,对于塑性较好而又导电的材料,一般采用双喷电解减薄法,而对于陶瓷等脆性较大,又不导电的材料一般用离子减薄的方法。有机材料一般采用切片的方法,这里不予讨论。
4.2.1 金属薄膜样品的制备
首先用线切割或者电火花切割的方法将块状金属样品切成0.5mm的薄片,然后用手工的方法将其研磨到0.2mm左右,接着用特制的冲头将其冲成直径为3mm的小圆片(也可以直接切成厚0.5mm,直径为3mm的小圆片),接着将其研磨到0.1~0.15mm,接下来就可以用双喷电解抛光的方法制备出金属薄膜样品了。
电解双喷时,一般要进行冷却,常用液氮加酒精的方法来冷却,尤其是钢铁材料,必须冷却,而且最好用液氮;不过有的材料也可以不用冷却。
电解双喷时,要调好电流和电压的值,只有电流和电压的值处于电解抛光的平台时,才能制造出好的样品。下图是电解又喷示意图。
常用电解减薄仪
| 电解液成分与配比 | 适用材料 |
1 | 乙醇(80ml),冰醋酸(80ml),高氯酸(15ml),甘油(10ml) | 高温合金,耐热钢,铝及其合金。 |
2 | 正磷酸(480ml),硫酸(50ml),铬酐(80g),水(60ml) | 铝及铝合金 |
3 | 高氯酸(80ml),冰醋酸(70ml) | 钢,硅钢 |
4 | 高氯酸(10ml),乙醇(90ml) | 镍基合金,硅钢,马氏体时效钢 |
4.2.2 非金属材料薄膜样品的制备
首先一般是用金刚石锯将块状样品切成0.5~1mm的薄片,接下来用手工研磨的方法将薄片研磨到50μm左右,然后用小刀片将其划为略小于3毫米的小块,用树脂胶或者A、B胶将小块样品粘于铜环或者钼环上,接着用手工研磨的方法将其研磨至小于20μm之后,用挖坑仪将其减薄至小于10μm,然后用离子减薄仪将其减薄至穿孔为止。离子减薄是采用高能量的Ar离子轰击样品表面,把样品表面上的原子团或分子团剥离样品。
对于用离子减薄好了样品,可以先放到光学显微镜下检查,一般减薄好的样品在穿孔附近会产生衍射环,如下图a所示,而减薄不好的样品,就观察不到这种衍射环,如下图b所示。

a) 减薄好的样品 b) 过减薄的样品
4.2.3 横截面样品的制备
1. 选样品
低倍立体显微镜下选样品,表面平坦,没有损伤,不选样品的边缘。用线锯或解理刀把样品切成小块,样品的对角线不超过 3mm即可。
2 . 清洁处理
无水乙醇 ------丙酮------两次超声清洗,每次2至3分钟。
3 . 对粘样品
清洗后的样品从丙酮里捞出来,自然干燥后,在样品的生长表面里涂上少量胶( MBond610),将两块样品的生长面,面对面粘在一起,快速放入夹具中加压,固定,在130℃ 左右的加热炉上固化两小时以上,冷却后取出,用线切割机切成薄片,进一步机械减薄。
下图是横截面样品的制备示意图,如图a所示,首先将多块具有生长薄膜的晶片对粘在一起,然后用特殊的装置将其压紧,经过长时间固化后,再用线切割或者其它方法切出一个略小于3mm的小圆柱(如图b所示),确保小圆柱的纵向接近轴线的地方存在横截面,接下来用金刚石锯片将小圆柱切成小的薄片,接下来的工作与非金属材料的制备相同。不过需要注意的是,横截面样品的制备要难得多,因此制备的过程中一定要小心仔细,最好在挖坑以后再用抛光轮再抛光一次,不然的话在离子减薄时,生长薄膜很容易被减掉。
